
Descubre cómo las familias numerosas pueden cuidar la salud dental infantil con organización, prevención y ayudas disponibles. Consejos prácticos para mantener sonrisas sanas en todos los hijos

¿Tienes un frenillo en la boca? Te explicamos si es normal, cuándo puede afectar y qué hacer si te causa molestias o problemas dentales.

Tener un frenillo en la boca es completamente normal. Sin embargo, si causa dificultad al hablar, comer o provoca separación entre los dientes, puede ser necesario evaluarlo con un dentista. En algunos casos se recomienda una frenectomía para mejorar la funcionalidad y la estética.
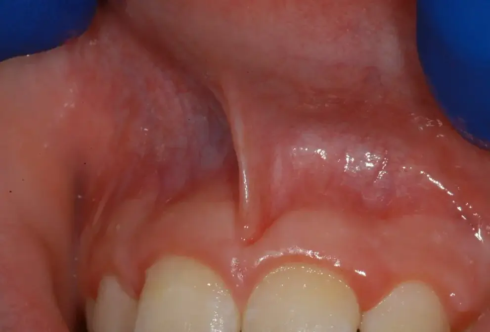
El frenillo labial es un tejido conectivo fibroso que une la encía con el labio superior o inferior. Todos tenemos dos frenillos labiales: uno superior y otro inferior, siendo el superior generalmente más grueso y a veces motivo de preocupación cuando su desarrollo no es el adecuado.

Desde la infancia, el frenillo labial puede presentar un desarrollo anómalo, manifestándose como un frenillo hipertrófico o de inserción baja. Esto puede provocar un espacio interdental mayor al normal, conocido como diastema, y afectar tanto la estética dental como la funcionalidad bucal.

Las principales señales de que algo no va bien con el frenillo labial incluyen:
La cirugía para corregir el frenillo labial, conocida como frenectomía, se considera necesaria en varios casos:
Es importante evaluar cada caso individualmente, considerando la edad del paciente, el grado de afectación del frenillo y sus implicaciones en la salud y la calidad de vida del paciente antes de decidir si la cirugía es necesaria.
La frenectomía es un procedimiento quirúrgico sencillo realizado bajo anestesia local. Consiste en corregir la posición del frenillo, eliminando el tejido excesivo para permitir un cierre adecuado del diastema y mejorar la movilidad y funcionalidad del labio.
Durante la frenectomía, se corta y se elimina el frenillo problemático para permitir un movimiento normal del labio o la lengua, según sea el caso. Una vez eliminado el frenillo, se sutura la incisión y se proporcionan instrucciones postoperatorias para la adecuada cicatrización y recuperación del área intervenida.
La frenectomía es una intervención relativamente simple y segura que puede tener beneficios significativos para la salud y la calidad de vida del paciente, mejorando la estética dental, la función del habla y la higiene bucodental.

Preguntas frecuentes
¿La frenectomía es un procedimiento doloroso?
No, se realiza bajo anestesia local, minimizando cualquier molestia durante el procedimiento.
¿Cuánto tiempo dura la recuperación tras una frenectomía?
La recuperación es relativamente rápida, con una vuelta a la normalidad en pocos días, siguiendo las indicaciones postoperatorias del especialista.
¿Es la frenectomía adecuada para todos los pacientes con frenillo labial hipertrófico?
No necesariamente. La decisión de operar depende de varios factores, incluyendo la edad del paciente y el impacto del frenillo en su salud bucodental y estética.
La frenectomía ofrece una solución efectiva para corregir anomalías en el frenillo labial, mejorando la estética y funcionalidad bucodental de los pacientes. Con un procedimiento relativamente sencillo y una recuperación rápida, representa una opción valiosa para mejorar la calidad de vida dental.
En Clínicas Cleardent, estamos comprometidos a brindar servicios de calidad y atención personalizada para cada paciente, incluyendo evaluación integral y recomendaciones individualizadas para cada caso de frenillo labial.




Descubre cómo las familias numerosas pueden cuidar la salud dental infantil con organización, prevención y ayudas disponibles. Consejos prácticos para mantener sonrisas sanas en todos los hijos


Ahora puedes descargar GRATIS la carta para el Ratoncito Pérez y su puerta MÁGICA para que los niños y niñas puedan pedir su regalo al caerse su diente.


El odontopediatra es el dentista especializado en la salud oral de bebés, niños y adolescentes. Descubre qué tratamientos realiza y cuándo acudir con tu hijo.


Los dientes de leche son la primera dentición de tu hijo, compuesta por 20 piezas dentales que aparecen entre los 4-6 meses y se mantienen hasta aproximadamente los 12 años. Aunque son temporales, su papel es fundamental para el desarrollo oral, facial y nutricional de los niños, por lo que requieren el mismo cuidado y […]


Descubre para qué sirve un mantenedor de espacio tipo banda-ansa en odontopediatría, cuándo se coloca y cómo ayuda a preservar la alineación dental tras la pérdida de un diente de leche.


¿Tu hijo tiene dientes definitivos saliendo detrás de los de leche? Descubre qué son los dientes de tiburón, por qué ocurren y cómo tratarlos con éxito.


¿Sabías que los dientes de leche tienen varios nombres? Descubre cómo se llaman, por qué son importantes y cuándo se caen. Una guía completa sobre la dentición temporal.


Descubre los mejores cuentos del Ratoncito Pérez para niños: clásicos, modernos y educativos sobre la caída de los dientes de leche

