
Desde la medicina integrativa, cada diente forma parte de un sistema interconectado: una infección dental crónica puede afectar órganos distantes, y una disfunción en un órgano puede reflejarse en un diente concreto.

Los pacientes inmunodeprimidos requieren un enfoque especializado en su cuidado dental debido a su mayor susceptibilidad a infecciones orales y complicaciones bucales. La salud bucal en estas personas no solo impacta su calidad de vida sino que puede tener consecuencias sistémicas graves si no se maneja adecuadamente. Desde candidiasis oral hasta periodontitis severas, las manifestaciones bucales pueden ser más frecuentes y agresivas. Por ello, es fundamental establecer protocolos de prevención rigurosos, tratamientos adaptados y una coordinación estrecha entre el equipo dental y médico para garantizar la seguridad y efectividad de los cuidados.

La salud dental en en pacientes Inmunodeprimidos por el virus del SIDA adquiere una importancia especial. Debido a que este tipo de personas sufren con mayor frecuencia problemas orales que surgen a causa del debilitamiento del sistema inmunitario. La presencia de la infección por VIH en un paciente le hace más susceptible a tener verrugas orales (que también pueden progresar a cáncer oral), aftas o llagas en la boca, caries o periodontitis.
Una persona inmunodeprimida es aquella que tiene su sistema inmunológico debilitado, por lo tanto, presenta una disminución o ausencia de la respuesta inmunitaria ante cualquier agresión vírica, bacteriana, etc.
La inmunodepresión provoca que el paciente sea más susceptible a las infecciones, es decir, tiene mayor facilidad a infectarse por microorganismos que aquellas personas cuyo sistema inmunológico funciona correctamente.
Las principales causas de la inmunosupresión son la infección por el VIH y la leucemia. La inmunodepresión también puede estar inducida por la administración de ciertos fármacos, como los utilizados en pacientes trasplantados, pacientes con cáncer, pacientes con enfermedades autoinmunes…
El VIH (virus de la inmunodeficiencia humana) es un virus que infecta el organismo atacando a los linfocitos, por lo que se ve alterada la función del sistema inmunológico.
A medida que la infección progresa, la infección por VIH acaba ocasionando SIDA (síndrome de inmunodeficiencia adquirida) haciendo nula o casi nula la respuesta inmunitaria ante agresiones y apareciendo así numerosas infecciones oportunistas y cánceres potencialmente mortales.
Para impedir que el virus siga colonizando más células del organismo, se administra un tratamiento antirretroviral de gran actividad con el que conseguimos disminuir la carga viral y que la infección por VIH no derive en SIDA.
El VIH se puede trasmitir por vía sexual (la práctica de mayor riesgo es el sexo anal), vía sanguínea (compartiendo objetos personales que contengan sangre como jeringuillas, cuchillas, cepillos de dientes…) o por transmisión madre-hijo. Por tanto, no hay riesgo de infección por la saliva y si por la sangre, semen y fluidos vaginales.
Para prevenir la infección es necesario tomar las siguientes medidas: el uso de preservativos, no compartir objetos personales que mantengan contacto con sangre y desaconsejar el embarazo si alguno de los padres está infectado, o en su defecto, la madre durante la gestación ha de someterse a un tratamiento específico.
Las lesiones orales son con mucha frecuencia el primer signo de la infección por VIH, además de orientarnos sobre la evolución de dicha infección. Dichas lesiones no son producidas por el propio virus, sino que son consecuencia del debilitamiento del sistema inmunitario que ha ocasionado la infección por el virus.
Los profesionales de la salud oral desempeñan un papel fundamental en la detección del VIH pues son los primeros en observar anomalías en la cavidad oral. Por lo tanto, es muy importante acudir a nuestro dentista de forma regular para someternos a revisiones en las que se pueden detectar anomalías orales.
Podemos encontrar lesiones orales causadas por hongos, bacterias y virus, neoplasias y alteraciones de origen desconocido. Pero las lesiones que están estrechamente relacionadas con la infección por VIH son: candidiasis oral, leucoplasia vellosa oral, alteraciones periodontales, aftas, ulceras y sarcoma de Kaposi.
El VIH no ocasiona xerostomía, si no el fármaco antirretroviral para combatirlo.
La xerostomía es la sensación de sequedad bucal debido a una disminución del flujo salival. Esto favorece el crecimiento de las bacterias que ocasionan la caries y alteraciones periodontales, y sobre todo, la aparición de candidiasis oral.
Tratamiento: el paciente ha de mantenerse hidratado bebiendo agua durante todo el día y usar productos que hidraten la cavidad oral y favorezcan la producción natural de la saliva, como los chicles sin azúcar con xilitol. Evitar el consumo de alimentos y bebidas azucaradas que van a favorecer aún más la aparición de la caries.
Es la más frecuente y la más asociada a la infección por VIH, apareciendo hasta en el 90% de estos pacientes.
Es causada por el hongo Cándida, el cual se presenta en pequeñas proporciones en la cavidad oral, tracto gastro-intestinal y tracto genital femenino. Cuando se produce un desequilibrio en el organismo, en este caso la disminución de la función del sistema inmunitario, este hongo puede crecer en exceso y dar lugar a una infección por hongos.
La mayoría de las candidiasis orales son asintomáticas. En algunos casos se produce una alteración del gusto, dolor y sensación de quemazón, dificultad al tragar (cuando la afectación es faríngea) o ronquera (cuando la afectación es laríngea).
Son placas cremosas de color blanco-amarillento que se desprenden al pasar una gasa. Pueden presentarse aisladas o agrupadas en cualquier localización de la cavidad oral.

Son puntos o áreas rojizas localizados en cualquier zona de la cavidad oral.

Tratamiento: antifúngicos tópicos (nistatina) asociado a un antifúngico sistémico (ketoconazol/ fluconazol). Para pacientes pediátricos es preferible utilizar nistatina suspensión o ketoconazol jarabe.
Además, es aconsejable que el paciente realice enjuagues con clorhexidina o con agua bicarbonatada (14gr de bicarbonato en 1L de agua) porque impide el crecimiento de los hongos.
Es el crecimiento benigno de la mucosa oral, causado por el virus Epstein-Barr y tiene carácter precanceroso. Es importante su temprano reconocimiento, ya que los pacientes con VIH asintomáticos con esta lesión tienen mayor probabilidad de desarrollar SIDA tempranamente, en un periodo de 2 o 3 años aproximadamente.
Se observan como placas blancas localizadas en a lo largo de los bordes de la lengua que no se desprenden al cepillado o con una gasa.
Tratamiento: fármaco antiviral denominado Aciclovir.
La mala higiene oral, la xerostomía y la disminución de la actividad del sistema inmune ocasionada por el propio VIH, favorecen el crecimiento de bacterias que ocasionan gingivitis (inflamación de las encías) y periodontitis (destrucción de las estructuras de soporte del diente: hueso, encía, ligamentos.).

Tratamiento: una rigurosa higiene oral que incluya un buen cepillado, el uso de hilo dental y enjuagues y un seguimiento por el dentista.
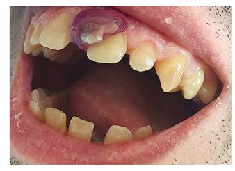
Es un tumor maligno oral causado por un tipo de virus del herpes. Es el tumor más asociado al VIH y afecta con más frecuencia a varones homosexuales y bisexuales.
Se observa como manchas y elevaciones de color azulado o violeta acompañadas o no de ulceraciones. Se localizan en el paladar o encía.

Tratamiento: quirúrgico para lesiones pequeñas.
Esta lesión es muy frecuente que aparezca cuando existe una inmunodepresión.
Son pequeñas ulceras con un borde rojo y un fondo gris que aparecen en cualquier localización de la cavidad oral. Son dolorosas y por ello pueden causar molestias al hablar y masticar.

Tratamiento: desaparecen por si solas al cabo de una o dos semanas pero pueden aplicarse anestésicos tópicos o enjuagues que alivian temporalmente el dolor. Se recomienda evitar alimentos muy calientes, picantes o cítricos.
Las ulceras ocasionadas por el virus del herpes simple son a menudo confundidas con las aftas.
En un sistema inmune debilitado como el del paciente infectado por VIH, estas ulceras pueden volverse muy grandes y dolorosas. Pueden afectar a la totalidad de la boca y a los labios.

Tratamiento: fármaco antiviral denominado Aciclovir. De forma tópica para los labios podemos usar cremas antivíricas o parches (herpatch serum).
Para un paciente con VIH la salud de su boca posiblemente no sea una de sus prioridades, pero como hemos descrito anteriormente, la enfermedad puede causar graves afectaciones orales.
El paciente inmunocomprometido ha de conocer que cualquier afectación en la cavidad oral supone un mayor riesgo de infección para su organismo, debido al estado en el que se encuentra su sistema inmunológico. La mejor forma de prevenir los problemas orales es:
Muchas personas temen que en el dentista puedan contraer infecciones tales como la del VIH. Aunque este no se contagie por la saliva, si lo hace por la sangre, pero existen una serie de precauciones universales para prevenir el contagio de enfermedades infecciosas de un paciente a otro y al personal sanitario.
Dentistas, higienistas y auxiliares, siguen el siguiente protocolo:

Ana María Pedraza Rodríguez. (2009). Influencia de la medicación antirretroviral altamente activa en las lesiones por cándida en la cavidad oral, en relación con el sexo, el grupo de riesgo, la carga viral y el estado inmunológico en un grupo de enfermos de sida. (Tesis doctoral). Universidad de Granada, Granada.
Eduardo J. Chauca Edwards. (2004) Manual de manejo clínico-estomatológico del paciente VIH/SIDA. Descargado en http://www.bvsde.paho.org/texcom/cd050854/chaucacl.pdf


Desde la medicina integrativa, cada diente forma parte de un sistema interconectado: una infección dental crónica puede afectar órganos distantes, y una disfunción en un órgano puede reflejarse en un diente concreto.


Te explicamos cómo puede afectar el cambio de hora en tu salud bucodental y por qué tienes que estar atento a este problema


La retracción gingival es uno de los problemas periodontales más frecuentes en la práctica odontológica moderna. Este fenómeno, caracterizado por la pérdida progresiva del tejido de las encías que deja expuestas las raíces dentales, afecta tanto a la funcionalidad como a la estética de la sonrisa.


En cada milímetro de tu cavidad bucal habita un ecosistema extraordinariamente complejo y dinámico. La microbiota oral constituye la segunda comunidad microbiana más abundante del cuerpo humano, solo superada por la intestinal. Este universo microscópico alberga millones de microorganismos que desempeñan funciones esenciales para nuestra salud, no solo bucal sino también sistémica. Un solo diente […]


Cuando surge un problema dental grave fuera del horario habitual, el dolor y la preocupación pueden ser abrumadores. Saber dónde encontrar urgencias dentales 24 horas cerca de mí en España puede marcar la diferencia entre una resolución rápida y horas de sufrimiento innecesario.


La parestesia es una alteración de la sensibilidad que provoca hormigueo o adormecimiento. Descubre sus causas, síntomas y tratamientos.


Guía completa sobre dentadura postiza: tipos, precios desde 400€, cuidados, ventajas e inconvenientes. Comparativa con implantes dentales. Información profesional 2026


Descubre qué es la vitamina K2 y para qué sirve en tu salud dental y ósea. Los expertos de ClearDent te explican sus beneficios esenciales.

