
Ahora puedes descargar GRATIS la carta para el Ratoncito Pérez y su puerta MÁGICA para que los niños y niñas puedan pedir su regalo al caerse su diente.

La pulpotomía es un tratamiento dental usado en dientes de leche y permanentes jóvenes para conservar la pieza. Descubre en qué consiste y cómo se realiza.

La pulpotomía es uno de los tratamientos más valiosos en la odontopediatría, concebido para salvar dientes infectados pero aún tratables, especialmente aquellos temporales (“de leche”) o permanentes jóvenes. En lugar de extraer o hacer una endodoncia completa, la pulpotomía permite conservar la vitalidad de la parte de la pulpa que aún está sana, evitando complicaciones futuras, facilitando la fonación, la masticación y la correcta erupción dental.
Si te preguntas “¿qué es exactamente una pulpotomía?”, “¿cuándo se debe hacer?”, “¿cómo se lleva a cabo?” o “¿qué diferencias tiene frente a otros tratamientos como la endodoncia o pulpectomía?”, aquí tienes una guía clara y completa, con sus indicaciones, procedimiento, ventajas, posibles complicaciones, y mucho más.

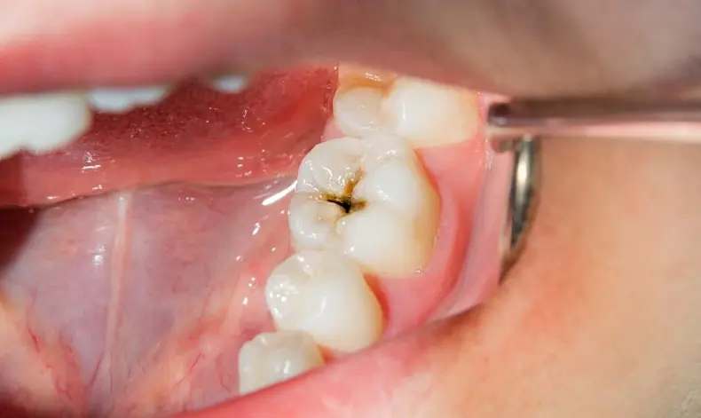
La pulpotomía es un tratamiento conservador de la pulpa dental (el tejido blando dentro del diente que contiene nervios y vasos sanguíneos). Consiste en retirar la pulpa coronaria (la parte localizada en la corona del diente), manteniendo la pulpa radicular si esta no está infectada ni dañada, de modo que el diente conserve sensibilidad, pueda continuar su función y conservarse hasta que natural y biológicamente deba exfoliarse (en dientes de leche) o hasta que la raíz termine su formación (en dientes permanentes jóvenes).
Importante destacar:
La pulpotomía está indicada cuando se cumplen ciertas condiciones. No en todos los casos de caries profunda o dolor de diente se puede aplicar con éxito. He aquí las situaciones más comunes en que se recomienda:
No siempre es factible ni recomendable. Algunas condiciones que contraindican la pulpotomía:
Aquí tienes un procedimiento detallado, paso a paso:

La pulpotomía ofrece ventajas importantes:
Como todo tratamiento, existen riesgos:
Para asegurar un buen resultado:

Aquí tienes una tabla clara que compara la pulpotomía con la pulpectomía (en dientes de leche cuando se extrae toda la pulpa) o endodoncia (en dientes permanentes):
| Característica | Pulpotomía | Pulpectomía / Endodoncia completa |
|---|---|---|
| Alcance del tratamiento | Se retira solo la pulpa coronaria; la parte radicular vital se conserva. | Se retira toda la pulpa, corona y raíces; relleno completo del conducto con materiales obturadores. |
| Indicaciones | Dientes de leche con pulpa coronaria afectada; dientes permanentes jóvenes con raíces en formación; exposición pulpar reciente. | Infección avanzada, pulpitis irreversible, necrosis pulpar, lesión apical, dientes adultos o maduros. |
| Objetivo | Mantener vitalidad radicular, evitar extracción; conservar la pieza cuando sea viable. | Eliminar pulpa infectada, prevenir propagación de infección; salvar el diente incluso si vitalidad perdida. |
| Duración del tratamiento | Generalmente más rápido; menos sesiones. | Más complejo; requiere más tiempo y más citas. |
| Restauración posterior | Corona de acero en dientes de leche; restauración definitiva tras curado. | Restauraciones más fuertes, a veces coronas completas, especialmente en dientes posteriores / de carga elevada. |
| Pronóstico vital | Buenísimo si se cumplen condiciones; vitalidad de la raíz se mantiene. | Vitalidad ya no presente; diente es “muerto” pero funcional si se trata bien. |
| Riesgo | Menos invasivo; menor costo; menor complicación si bien realizado. | Riesgo mayor de fractura, infección si no se realiza correctamente; costo y tiempo mayores; mayor desgaste de estructura dental. |
Normalmente no. Se realiza bajo anestesia local, por lo que no hay dolor durante el procedimiento. Puede haber molestias moderadas después que se controlan con analgésicos.
Depende del diente y grado de afectación, pero suele hacerse en una sesión, con restauración posterior, y revisión en unas semanas. En algunos casos puede requerirse una segunda cita de control.
No. En la endodoncia se elimina toda la pulpa coronaria y radicular, mientras que en la pulpotomía se conserva la parte radicular vital del diente.
Si se realiza adecuadamente, puede mantenerse hasta que el diente de leche caiga naturalmente, o si es diente permanente joven, hasta completo desarrollo de la raíz, y luego restauración o tratamiento que corresponda.
Generalmente no. En adultos suele considerarse la endodoncia si la pulpa está afectada. La pulpotomía está más indicada en dientes jóvenes, temporales o permanentes con raíces aún en formación.
La pulpotomía dental es un tratamiento valioso y conservador, esencial en odontopediatría y dientes permanentes jóvenes, para salvar piezas dentales afectadas por caries profundas o exposiciones pulpares. Cuando se realizan bajo diagnóstico adecuado, técnica correcta, materiales de alta calidad y seguimiento, la pulpotomía ofrece excelentes resultados: preserva vitalidad, función, estética y reduce complicaciones.
Si sospechas que tu hijo (o tú) necesita una pulpotomía—dolor profundo con caries, sensibilidad al calor o frío, sin absceso visible—ponte en manos de un odontólogo especializado. Tu sonrisa (y tu salud dental) lo agradecerá.



Ahora puedes descargar GRATIS la carta para el Ratoncito Pérez y su puerta MÁGICA para que los niños y niñas puedan pedir su regalo al caerse su diente.


El odontopediatra es el dentista especializado en la salud oral de bebés, niños y adolescentes. Descubre qué tratamientos realiza y cuándo acudir con tu hijo.


Los dientes de leche son la primera dentición de tu hijo, compuesta por 20 piezas dentales que aparecen entre los 4-6 meses y se mantienen hasta aproximadamente los 12 años. Aunque son temporales, su papel es fundamental para el desarrollo oral, facial y nutricional de los niños, por lo que requieren el mismo cuidado y […]


Descubre para qué sirve un mantenedor de espacio tipo banda-ansa en odontopediatría, cuándo se coloca y cómo ayuda a preservar la alineación dental tras la pérdida de un diente de leche.


¿Tu hijo tiene dientes definitivos saliendo detrás de los de leche? Descubre qué son los dientes de tiburón, por qué ocurren y cómo tratarlos con éxito.


¿Sabías que los dientes de leche tienen varios nombres? Descubre cómo se llaman, por qué son importantes y cuándo se caen. Una guía completa sobre la dentición temporal.


Descubre los mejores cuentos del Ratoncito Pérez para niños: clásicos, modernos y educativos sobre la caída de los dientes de leche


¿Tu hijo tiene caries en los dientes de leche? Descubre qué las causa, cómo prevenirlas y cuándo es necesario tratar para evitar daños en los dientes definitivos.

