
El absceso dental es una acumulación localizada de material purulento (pus) resultante de una infección bacteriana que afecta los tejidos dentales o periodontales. Esta colección supurativa se forma como consecuencia de la respuesta inflamatoria del organismo ante la invasión bacteriana, caracterizándose por la destrucción tisular y la formación de una cavidad que contiene leucocitos degradados, bacterias, restos celulares y exudado inflamatorio.
Clínicamente, el absceso dental se manifiesta con dolor intenso, tumefacción localizada y signos inflamatorios agudos. Representa una urgencia odontológica que requiere intervención inmediata para prevenir la diseminación de la infección a espacios anatómicos adyacentes y posibles complicaciones sistémicas.
También denominado absceso dentoalveolar o endodóntico, se origina en el ápice radicular como resultado de la necrosis pulpar. La infección bacteriana del sistema de conductos radiculares progresa hacia los tejidos periapicales, estableciendo un foco infeccioso localizado en el hueso alveolar circundante al ápice dental.
El proceso típicamente inicia con una pulpitis irreversible que evoluciona a necrosis pulpar. Las bacterias anaerobias y sus toxinas migran a través del foramen apical, desencadenando una respuesta inflamatoria aguda en los tejidos periapicales que culmina en la formación del absceso.
Se localiza en los tejidos de soporte dental, específicamente en el periodonto marginal o de inserción. Puede originarse como complicación de enfermedad periodontal preexistente (periodontitis crónica) o desarrollarse de forma aguda en tejidos periodontales previamente sanos.
El absceso periodontal asociado a periodontitis se forma cuando existe oclusión del drenaje de una bolsa periodontal profunda, permitiendo la proliferación bacteriana en un ambiente anaerobio. Los abscesos periodontales en tejidos sanos típicamente resultan de impactación de cuerpo extraño o trauma local.
Ocurre en relación con un diente en erupción, más frecuentemente asociado a terceros molares mandibulares (pericoronaritis). La inflamación e infección del opérculo (tejido gingival que cubre parcialmente la corona dental durante la erupción) puede progresar a formación de absceso cuando existe acumulación de restos alimenticios y proliferación bacteriana bajo el colgajo mucoso.
Los abscesos dentales son infecciones polimicrobianas con predominio de bacterias anaerobias. Los microorganismos más frecuentemente aislados incluyen:
Bacterias anaerobias estrictas: Prevotella intermedia, Prevotella melaninogenica, Fusobacterium nucleatum, Peptostreptococcus species, y Bacteroides species constituyen los patógenos primarios.
Bacterias anaerobias facultativas: Streptococcus viridans, Streptococcus milleri y especies de Actinomyces participan en la infección mixta.
La sinergia bacteriana entre diferentes especies potencia la virulencia de la infección y la resistencia a los mecanismos de defensa del huésped.
Caries dental profunda: Representa la causa más común de necrosis pulpar y subsecuente absceso periapical. La progresión de la lesión cariosa permite la invasión bacteriana de la cámara pulpar.
Enfermedad periodontal: La periodontitis crónica no tratada crea bolsas periodontales profundas que pueden ocluirse y formar abscesos. La pérdida de inserción periodontal facilita la migración bacteriana hacia tejidos profundos.
Trauma dental: Fracturas coronarias o radiculares que exponen el tejido pulpar, luxaciones o avulsiones dentales pueden conducir a necrosis pulpar e infección secundaria.
Procedimientos dentales previos: Tratamientos endodónticos inadecuados, perforaciones iatrogénicas durante instrumentación del conducto radicular, o restauraciones con márgenes deficientes que permiten filtración bacteriana.
Obstrucción del drenaje: En abscesos periodontales, la obliteración del orificio de drenaje de una bolsa periodontal por cálculo, tejido de granulación o cuerpo extraño.
La diabetes mellitus mal controlada compromete la respuesta inmune y favorece el establecimiento y progresión de infecciones. La inmunosupresión, ya sea farmacológica (corticoides, quimioterapia) o patológica (VIH/SIDA), aumenta la susceptibilidad a infecciones severas. El tabaquismo afecta negativamente la microcirculación y la respuesta inmune local.
Dolor: Característicamente intenso, pulsátil y continuo. La percusión dental aumenta significativamente el dolor. La masticación es extremadamente dolorosa, llevando al paciente a evitar el uso del diente afectado.
Tumefacción: Edema localizado en tejidos blandos adyacentes al foco infeccioso. En abscesos periapicales, puede observarse tumefacción intraoral en el fondo de vestíbulo o palatina/lingual, según la posición del ápice radicular y la cortical ósea perforada.
Movilidad dental: El diente afectado presenta movilidad aumentada debido a la destrucción del ligamento periodontal y reabsorción ósea circundante.
Manifestaciones sistémicas: Fiebre, malestar general, linfadenopatía regional, y en casos severos, taquicardia. La presencia de fiebre indica diseminación de la infección más allá del sitio local.
Diente causante: Frecuentemente presenta caries extensa, cambio de coloración, fractura o restauración defectuosa. La prueba de vitalidad pulpar es negativa en abscesos periapicales.
Tejidos blandos: Eritema, calor local, edema fluctuante cuando el absceso alcanza tejidos superficiales. La palpación revela sensibilidad aumentada y en etapas avanzadas, fluctuación que indica acumulación líquida.
Trayecto fistuloso: En infecciones crónicas puede desarrollarse una fístula que drena intermitentemente material purulento, reduciendo temporalmente la sintomatología.
Trismus: Limitación de apertura bucal cuando la infección afecta espacios anatómicos relacionados con musculatura masticatoria.
La evaluación incluye inspección visual, palpación de tejidos blandos, percusión dental, pruebas de movilidad y evaluación de respuesta a estímulos térmicos. La identificación del diente causante es fundamental mediante pruebas de sensibilidad selectivas.
El sondaje periodontal distingue entre absceso periapical y periodontal. En el absceso periapical, el sondaje es normal excepto en presencia de enfermedad periodontal concomitante. El absceso periodontal presenta aumento localizado de profundidad al sondaje.
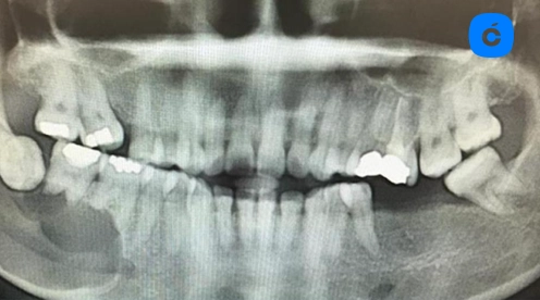
Radiografía periapical: Esencial para visualizar el área periapical. En abscesos periapicales agudos iniciales puede no observarse cambios radiográficos significativos. En etapas más avanzadas se aprecia radiolucidez periapical indicativa de reabsorción ósea.
Radiografía panorámica: Útil para evaluación de extensión, afectación de estructuras anatómicas y presencia de múltiples focos infecciosos.
Tomografía computarizada: Indicada en casos de sospecha de diseminación a espacios faciales profundos, compromiso de vía aérea o afectación de seno maxilar.
Periodontitis apical aguda: Presenta dolor a la percusión sin formación de colección purulenta ni tumefacción significativa.
Osteítis periapical: Inflamación del hueso alveolar sin formación de absceso.
Celulitis odontogénica: Infección difusa de tejidos blandos sin colección purulenta localizada. Presenta edema indurado sin fluctuación.
Sinusitis maxilar aguda: Puede confundirse con absceso dental de origen en molares o premolares superiores. La afectación simultánea de múltiples dientes y síntomas nasales sugieren origen sinusal.
Drenaje del absceso: Constituye el tratamiento definitivo prioritario. El drenaje intraoral se realiza mediante incisión en el punto de máxima fluctuación, seguida de exploración digital suave para romper tabiques. En abscesos periapicales con pulpa necrótica, el drenaje se efectúa a través del sistema de conductos tras apertura cameral.
Analgesia: Control del dolor mediante antiinflamatorios no esteroideos (ibuprofeno 400-600mg) o en casos severos, combinación con opioides menores. Los analgésicos se administran a dosis regulares, no únicamente cuando aparece dolor.
La antibioticoterapia complementa pero no sustituye el tratamiento local. Las indicaciones incluyen:
Antibiótico de primera elección: Amoxicilina 500mg cada 8 horas por 7 días. En pacientes alérgicos a penicilinas: clindamicina 300mg cada 8 horas.
Combinación amoxicilina-ácido clavulánico: Indicada cuando existe sospecha de bacterias productoras de betalactamasas o en infecciones refractarias.
Absceso periapical: Tratamiento endodóntico del diente causante una vez controlada la fase aguda. En dientes no restaurables, la extracción dental es la alternativa.
Absceso periodontal: Desbridamiento de la bolsa periodontal, eliminación de cálculo y alisado radicular. Evaluación de pronóstico periodontal una vez resuelto el cuadro agudo.
Absceso pericoronario: Irrigación profusa del espacio subopercular. Operculectomía o extracción del diente en erupción según valoración del caso.
Evaluación a las 24-48 horas para verificar evolución favorable. Instrucciones de higiene oral específicas y seguimiento hasta resolución completa del cuadro. Continuación con tratamiento definitivo según plan establecido.
Celulitis facial: Diseminación de la infección a tejidos blandos faciales con edema indurado difuso.
Osteomielitis: Infección del hueso maxilar o mandibular, más frecuente en mandíbula debido a su menor vascularización.
Tromboflebitis del seno cavernoso: Complicación grave por diseminación de infección de dientes maxilares anteriores a través de plexos venosos faciales.
Compromiso de vía aérea: La extensión a espacios profundos del cuello puede comprometer la permeabilidad de vía aérea, constituyendo una emergencia médica.
Bacteriemia y septicemia: Diseminación hematógena de bacterias con potencial compromiso sistémico severo.
Endocarditis bacteriana: En pacientes con cardiopatías predisponentes, las bacteriemias de origen dental pueden causar endocarditis infecciosa.
Mediastinitis descendente: Extensión de la infección a espacios cervicales profundos y posteriormente al mediastino, con mortalidad significativa.
La prevención del absceso dental se fundamenta en:
La educación del paciente sobre la importancia de atención dental preventiva y tratamiento temprano de patologías es fundamental para reducir la incidencia de abscesos dentales.
El pronóstico del absceso dental tratado adecuadamente es favorable. La resolución completa de la infección se logra mediante drenaje apropiado, antibioticoterapia cuando está indicada, y eliminación del foco causal.
El pronóstico a largo plazo del diente afectado depende de:
Los abscesos recurrentes sugieren tratamiento inadecuado del foco infeccioso o presencia de factores predisponentes no controlados que requieren reevaluación integral.
Revisado por: Dr. Ismael Cerezo Gilabert
Nº de Colegiado: 23001944
Última actualización: Octubre 2025


